Atlikti darbai
Kruopštumas, pažangūs gydymo sprendimai ir nuoširdus rūpestis – nuo pirmos konsultacijos iki dantų atkūrimo, siekiant jūsų sveikatos ir gražios šypsenos.






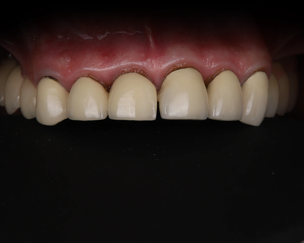
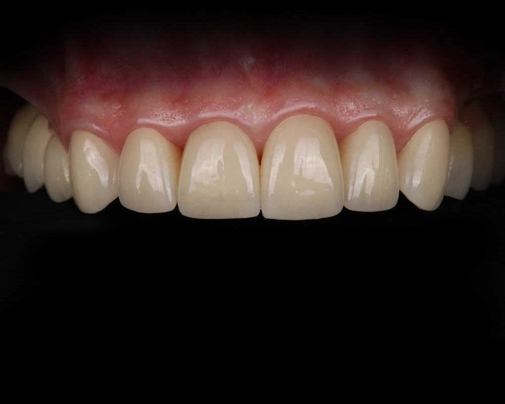
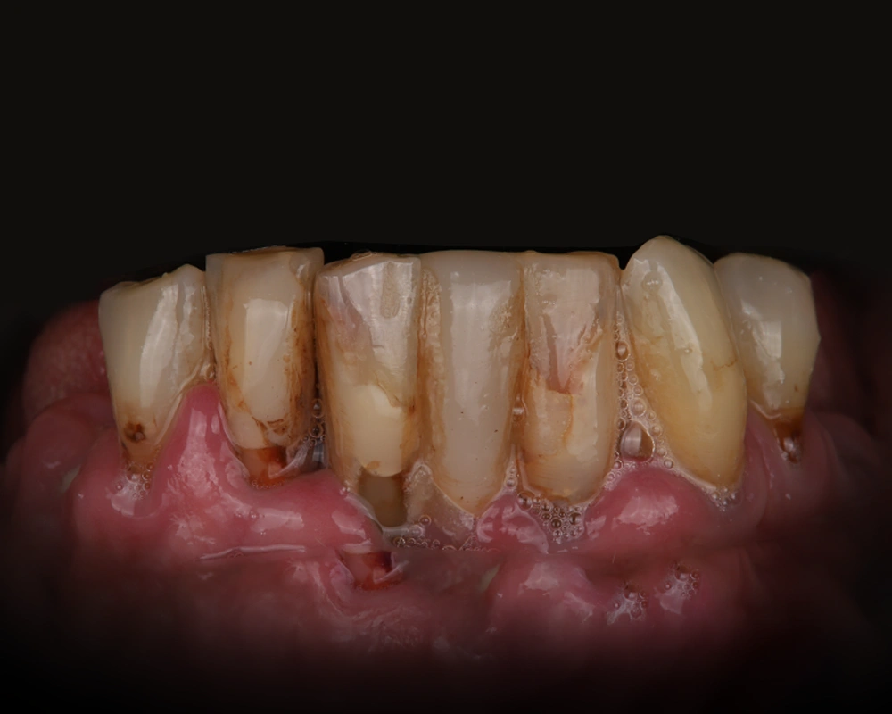
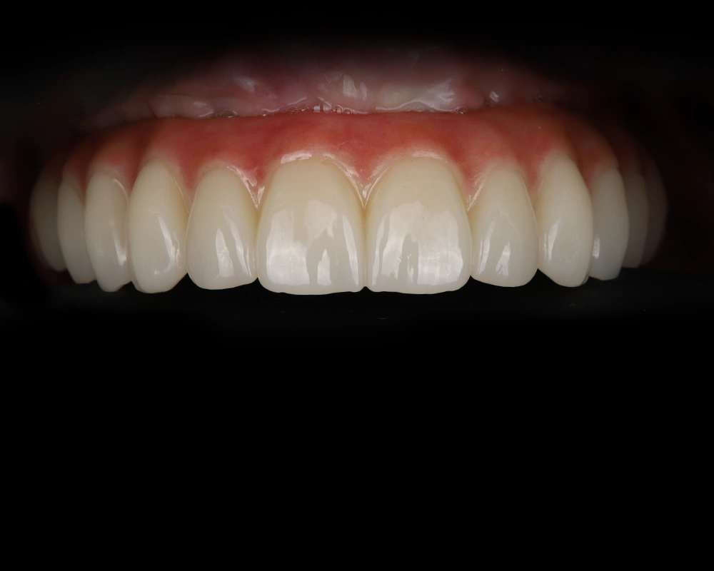
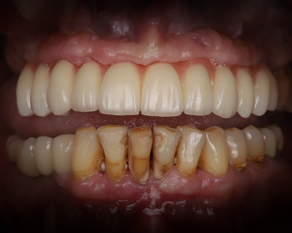
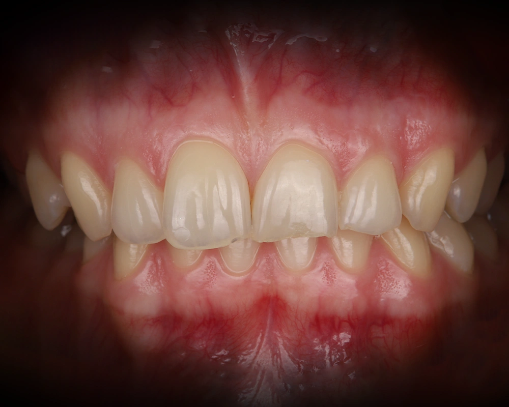
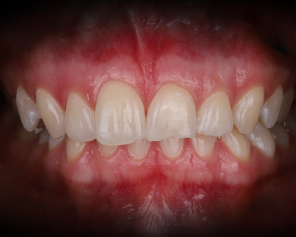
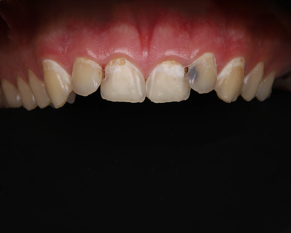
Estetikos atstatymas laminatėmis
Problema: Pacientė atvyko baigiantis ortodontiniam gydymui breketų sistema.
Gydymas: Pacientė atvyko baigiantis ortodontiniam gydymui breketais. Nuėmus breketus atliktas sąkandžio stabilizavimas karštu kompozitu, pavienių dantų protezavimas cirkonio vainikėliais ir keramikos užklotais. Apatinio žandikaulio priekinių dantų nudilę kraštai atkurti estetiniu plombavimu. Viršutinio žandikaulio šypsenos zonoje pritaikytos keramikos laminatės, o 12 dantis – restauruotas cirkonio vainikėliu.
Kodėl pasirinktos laminatės:
– Norėta šviesesnės spalvos
– Pakitusi dantų forma ir proporcijos
– Dantys buvo pažeisti ėduonies ir gausiai plombuoti
– Reikėjo uždaryti tarpdančius ir juoduosius trikampius
– Siekta ilgalaikio, estetiško ir stabilių rezultatų
Rezultatas: atkurtas stabilus sąkandis, funkcija ir estetiška, harmoningai atrodanti šypsena. Visos naudojamos medžiagos – laminatės, vainikėliai ir užklotai – tarpusavyje dera tiek estetiškai, tiek funkcine prasme.
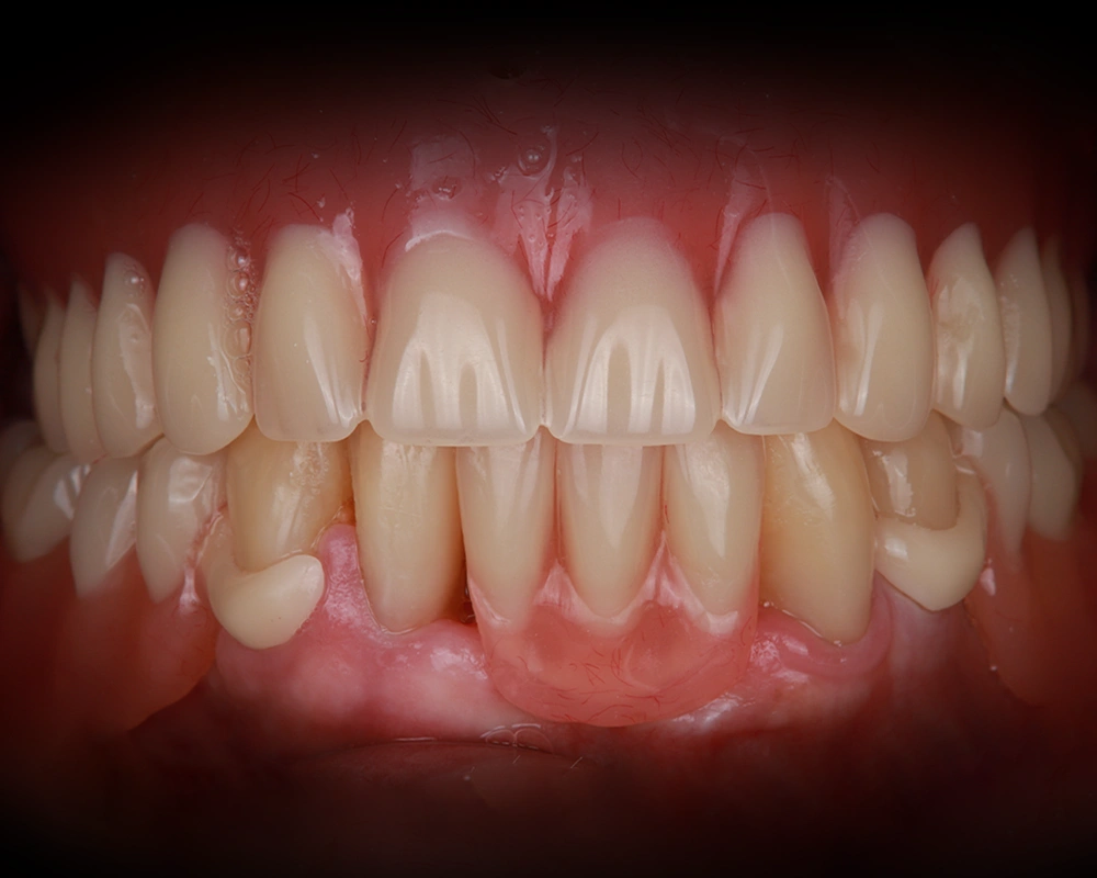
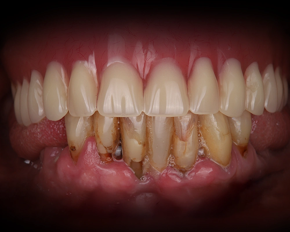
Visos burnos reabilitacija
Problema: nestabilus sukandimas po ortodontinio gydymo, dantų ėduonis, patamsėjusi dantų spalva, dantų nudilimas, estetinės priekinių dantų problemos dėl dantų formos ir didelių plombų, seni neestetiški metalo keramikos vainikėliai.
Gydymas: ėduonies gydymas, visos burnos pavaškavimas. Sąkandžio kėlimas ir stabilizavimas karštu kompozitu, apatinio žandikaulio priekinių dantų estetinis plombavimas, cirkonio keramikos vainikėliai ir užklotai, viršutinio žandikaulio priekinių dantų stiklo keramikos laminatės.
Rezultatas: stabilus sukandimas atkuriant prarastą dantų aukštį bei sustiprinant ėduonies ar didelių plombų pažeistus dantis pasitelkiant vainikėlių, keramikos užklotų ir laminačių restauracijomis.
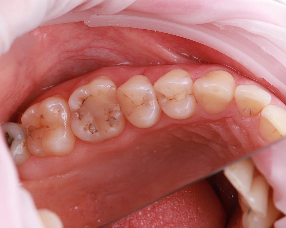
Funkcinis anatominis plombavimas
Problema: gilūs ėduonies pažeidimai ir netinkamos formos, sąkandžio neatitinkančios senos plombos.
Srendimas: pažeistų audinių pašalinimas ir dantų atstatymas anatomiškai bei funkcionaliai tiksliai.
Rezultatas: sveika, estetiška šypsena ir patogus kramtymas kasdien.
Estetinis sakandžio kėlimas su vainikėliais ant implantų
Problema: pacientė atvyko į kliniką dėl 14 ir 15 dantų skilimo. Skilimas įvyko dėl griežimo, itin gilaus ir nudilusio sąkandžio, nestabilios sąkandžio padėties bei prarasto sukandimo aukščio.
Srendimas: atliktus diagnostiką, dantis teko šalinti ir implantuoti.
Rezultatas: buvo atkurtas sukandimo aukštis: priekiniai dantys atkurti estetiniu plombavimu pagal pavaškavimą, šoniniai dantys – sukandimo aukščio pakėlimu kompozitu, o implantai protezuoti cirkonio keramikos vainikėliais.





Seno estetinio plombavimo perdarymas
Problema: pacientė kreipėsi dėl seno estetinio plombavimo perdarymo – ji nebuvo patenkinta spalva, forma ir bendru estetiniu vaizdu.
Gydymas: atlikus naujos šypsenos pavaškavimą ir pasimatavimą, senas estetinis plombavimas nušlifuotas ir pakeistas nauju, naudojant daugiasluoksniavimo techniką. Spalva parinkta pagal pacientės pageidavimus – derinta prie apatinių dantų, siekiant kuo natūralesnio rezultato.
Rezultatas: dantys atrodo gyvi ir itin blizgūs. Atliekant gydymą, 4 dantų perdarymas išplėstas iki 6 dantų estetinio plombavimo, įtraukiant ir iltinius dantis.
Priekinių dantų estetika
Problema: pacientė atvyko į kliniką dėl priekinių dantų estetikos. Tokia dantų situacija buvo jau ilgą laiką: vaikystėje patirta trauma nuskėlė vieną dantį per pusę, dėl to dantis tapo negyvas ir patamsėjo. Pacientė pagaliau norėjo drąsiai šypsotis.
Gydymas: įvertinus situaciją, pacientei pirmiausia pasiūlytas ortodontinis gydymas, tačiau pacientė jo atsisakė, nes nori pagaliau gyventi „čia ir dabar“. Įvertinus esamą dantų situaciją, atliktas penkių dantų pavaškavimas planuojant būsimą šypseną. Dantys atkurti taip: atliktas trijų dantų estetinis plombavimas, vienam dančiui pagaminta stiklo keramikos laminatė ir vienam dančiui – cirkonio keramikos vainikėlis.
Rezultatas: medžiagos estetiškai labai dera tarpusavyje, o pacientė džiaugiasi itin greitu ir estetišku rezultatu.
Itin jautrių priekinių dantų estetika
Problema: pacientė kreipėsi dėl itin jautrių priekinių dantų, taip pat netenkino jų estetinis vaizdas – dėl to ji vengė šypsotis. Pacientė pageidavo išsaugoti ir 23 dantį, kuris buvo dengtas senu metalo keramikos vainikėliu bei ties kakleliu pažeistas ėduonies.
Gydymas: atliktas penkių dantų ėduonies pašalinimas ir atkūrimas estetinio plombavimo būdu pagal pavaškavimo modelį. 21 danties recesija padengta rožinės spalvos kompozitu. 23 danties vainikėlis pakeistas į cirkonio keramikos vainikėlį.
Rezultatas: derinta prie esamų dantų, siekiant natūralios ir harmoningos estetikos.
Implantai vietoje plokštelių
Problema: pacientas atvyko į kliniką skųsdamasis, kad pavargo gyventi su plokštelėmis – jos nesilaiko, sąkandis netinkamas, likę keletas skausmingų dantų.
Gydymas: atliktas išsamus paciento ištyrimas. Vieno vizito metu pašalinti likę dantys, abiejuose žandikauliuose įsriegta po 4 Neodent GM implantus, ant kurių iškart pritvirtinti laikini fiksuoti protezai.
Rezultatas: atkurta šypsena, kramtymo funkcija ir paciento pasitikėjimas savimi.
Visos burnos reabilitacija
Problema: daug prarastų dantų, didelės apimties esamų dantų nudilimas, pakitęs sąkandis, dantų ėduonis.
Gydymas: nebetinkamų gydymui dantų/šaknų šalinimas, ėduonies gydymas, esamų dantų pavaškavimas sukuriant naują formą ir sukandimą, priekinių dantų estetinis plombavimas, likusių dantų atkūrimas išimamomis minkštos bazės plokštelėmis.
Rezultatas: išsaugoti likę dantys, atkurtas sukandimas ir estetika, atkurta kramtymo funkcija išimamais protezais.
Visos burnos reabilitacija
Problema: daug prarastų dantų, didelės apimties esamų dantų nudilimas, pakitęs sąkandis, dantų ėduonis, patamsėjusi dantų spalva.
Gydymas: nebetinkamų gydymui dantų/šaknų šalinimas ir implantavimas; ėduonies gydymas/endodontinis gydymas; visos burnos pavaškavimas ir centriko kapos naudojimas naujo sukandimo adaptacijai; esamų dantų protezavimas keramikos užklotais, implantų cirkonio vainikėliais ir tiltais, priekinių dantų estetinis plombavimas ir šoninių dantų sąkandžio kėlimas karštu kompozitu pagal pavaškavimą.
Rezultatas: visapusiškas netektų dantų atkūrimas ir likusių išsaugojimas sukuriant naują šypseną ir sugrąžinant pasitikėjimą bei norą vėl plačiai šypsotis.
Estetinis plombavimas
Problema: dėl dantų nudilimo prarastas dantų ilgis, netolygūs kraštai, netinkamas iltinių dantų vedimas.
Gydymas: pagal laboratorijoje atliktą pavaškavimą suderinus su pacientės sukandimu, šypsena ir veidu atliktas nudilusių dantų kraštų suplombavimas estetiniu būdu.
Rezultatas: atkurtas dantų ilgis, forma, pagyvinta ir natūraliai atjauninta šypsena.
Funkcinis anatominis plombavimas
Problema: plokščios, sąkandžio formos neatitinkančios senos dantų plombos.
Gydymas: senų plombų keitimas anatomiškai bei funkciškai suderintomis.
Rezultatas: užtikrintas komfortiškas kramtymas, tolygus sąkandis.
Funkcinis anatominis plombavimas
Problema: dantų paviršių atkūrimas prieš pradedant dantų tiesinimą kapomis.
Gydymas: ėduonies šalinimas ir funkcinis-anatominis plombavimas.
Rezultatas: pagerintas dantų paviršiaus funkcionalumas ir pasirengta ortodontinėms procedūroms.
Estetinis plombavimas
Problema: patamsėjusios senos plombos sukūrė vizualų skirtumą tarp šoninių protezuotų ir savų priekinių dantų.
Gydymas: pašalintas ėduonis, atliktas estetinis plombavimas, kuris suvienodino dantų spalvą bei formą,
Rezultatas: nepriekaištingos išvaizdos šypsena.
Viso žandikaulio atkūrimas ant implantų
Problema: prarasti viršutinio žandikaulio dantys.
Gydymas: 4-ių dantų implantų įsriegimas ir dantų lanko protezavimas.
Rezultatas: atkurta estetinė bei kramtymo funkcija.
Sąkandžio kėlimas
Problema: ėduonis, senos plombos bei įvairių laipsnių dantų kramtomųjų paviršių nudilimai.
Gydymas: pašalintas ėduonis ir atliktas dantų nudilimų atkūrimas karštu kompozitu. Dantų pavaškavimas leido iš anksto „pasimatuoti“ naują šypseną.
Rezultatas: taisyklinga dantų anatomija bei sukandimas, tolygi dantų spalva.
Priekinio pavienio danties protezavimas
Problema: neestetiškai atrodantis, trupantis priekinis dantis.
Gydymas: kompleksiškų ėduonies pažeidimų bei dantų šaknų kanalų gydymas, protezavimas cirkonio keramikos vainikėliu.
Rezultatas: itin natūrali atkurto priekinio danties išvaizda.
Estetinis mikroprotezavimas
Problema: dėl patirtos traumos, vienas plombuotas dantis prarado gyvybingumą, o kitas – įskilo.
Gydymas: atliktos restauracijos: pirmasis dantis protezuotas vainikėliu, o antrasis – stiklo keramikos laminate.
Rezultatas: atkurta vientisa dantų spalva, forma ir estetiška šypsena.





Priekinių dantų protezavimas
Problema: Pacientė atvyko priekinių dantų protezavimui, nebuvo patenkinta šypsena, dantų vainikėliai seni, pajuodę. Stebimi seno metalo keramikos vainikėliai, antrinis ėduonis prie dantenų, kraštinis vainikėlių pralaidumas, restauracijos patamsėjusios, šypsena neigiama, dantys negražiai atrodo iš po lūpos.
Gydymas: Suplanuota nauja šypsenos ir dantų forma atlikus pavaškavimą. Nupjauti seni vainikėliai, sugydytas dantų ėduonis, kur reikėjo, atliktas endodontinis gydymas/pergydymas.
Rezultatas: Pagaminti nauji vainikėliai iš cirkonio keramikos




Ėduonies gydymas ir protezavimas išimama plokštele
Problema: pacientė kreipėsi dėl apatinio žandikaulio dantų, skundžiasi skaudamais likusiais dantimis ir nebegydomomis dantų šaknimis.
Gydymas: įvertinus likusius dantis nuspręsta atlikti nebegydomų ir itin paslankių dantų šalinimą, likusių dantų ėduonies gydymą ir estetinio vaizdo sugrąžinimą plombavimu.
Rezultatas: atliktas protezavimas išimamu lanko atraminiu protezu minkštais elastiniais kabliukais
Pacientė gydymui pasinaudojo TLK lėšomis.






Keramikos užklotas
Problema: pacientė atvyko danties protezavimui. Dantis gyvas, bet dėl didelės buvusios plombos nuskilo
Gydymas: išsivalius seną plombą stebimas itin didelis defektas, dugnas padengtas biokeramine mase siekiant išsaugoti danties gyvybingumą ir apsaugoti nuo jautrumo.
Rezultatas: dantis nušlifuotas užkloto restauracijai siekiant išsaugoti kuo daugiau savų danties audinių ir kito vizito metu priklijuotas keramikos užklotas. Stebima atkurta anatomija, integrali spalva, pritaikytas sukandimas.





Visi ant 4 implantų
Problema: pacientė kreipėsi dėl viršutinio žandikaulio atkūrimo ant implantų.
Gydymas: įsukti 4 Neodent implantai ir trims mėnesiams fiksuotas laikinas protezas. Po 3 mėn pacientei pagamintas 12 dantų cirkonio ant titaninės sijos nuolatinis protezas.
Rezultatas: tinkamai įsuktos 4-ių implantų padėtys leido pacientei pasiūlyti ne 10-ies, o 12-os dantų protezą
Balinimas Philips ZOOM sistema
ALL on 4 abu žandikauliai su nuolatiniais
Danties gyvybingumo išsaugojimas
Funkcinis plombavimas
Funkcinis plombavimas 2